Before / After Smile Gallery
-
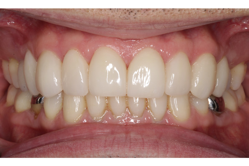
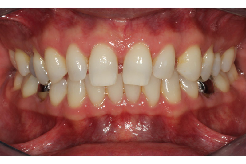
Before
After
Veneers
A fresh smile makeover with veneers.
-
Before
After
Anterior Crowns
Large fillings on the front teeth were removed and replaced with porcelain crowns.
-
Before
After
Crowns
Three crowns to restore decayed teeth.
-
Before
After
Crown
Restored broken and discolored tooth with single crown.
-
Before
After
Broken Filling
Broken amalgam filling caused bacteria to leak into the tooth and an infection to form. After a root canal was completed, a crown was fabricated to protect the tooth from future breakage.
-
Before
After
Missing Bridge
Patient came in with missing bridge. New bridge was fabricated to match with patient's other teeth.
-
Before
After
No-Prep Veneers
No prep veneers are an ideal choice to close gaps caused by teeth that are too small.
-
Before
After
Fillings for Worn Teeth
Fillings can protect your worn teeth and improve your smile.
-
Before
After
Composite Restoration
This patient had a worn out area on the front of his tooth due to forceful toothbrushing. The deep indentation led to food getting stuck and decay to form. All decay was removed and a filling was placed to match the appearance of the tooth and to make the area easier to keep clean.
-
Before
After
Invisalign
Pt was unhappy with crowding on lower teeth. Pt wore clear aligners for one year.
-
Before
After
Invisalign
Invisalign correction of underbite.
-
Before
After
Orthodontics
Before and After braces
-
Before
After
Orthodontics
Before and After braces
